АНАБИОЗ; ПРОБЛЕМЫ И ПЕРСПЕКТИВЫ
П. ПОДРАБИНЕК, КАНД. МЕД. НАУК
1 сентября 1701 года Антони Левенгук рассматривал под микроскопом высохший । песок, и обнаружил, что после добавления j воды в нем оживают сотни коловраток. Двести лет, это явление многократно подтверждалось, и опровергалось, вызывая ожесточенную полемику исследователей, неизменно в форме вопроса высшего порядка «Возможна ли жизнь без проявлений жизни?» И только в наш индустриальный век это явление получило практическое значение.
Эритроциты при обычных методах хранения в питательных средах не теряют свои свойства 2 - 3 месяца. Если же их консервировать при температуре - 79°С, то этот срок удлиняется до полутора лет. А это очень важно для решения различных проблем переливания крови. Сперму отличных быков-производителей, замороженную при - 79° С, можно доставить в любой конец земного шара, и оплодотворить ею стада коров. I
Наше время так богато открытиями, что мы порой теряем способность удивляться, и успехи в изучении анабиоза не поражают воображение. Между тем эти достижения j могут стать предвестниками крупнейших преобразований в нашей жизни.
Благодаря фантастическим успехам в завоевании космоса, и писателям-фантастам мы стали привыкать к идее «ракетной цивилизации», к мысли о поколениях, рождающихся, и живущих в космическом корабле. Нам близки герои, пересекающие бездны пространства, тоскующие по Земле, и в вековых путешествиях забывающие ее черты. Но эти идеи, вероятно, надолго j останутся чисто литературными, так, как ракетная цивилизация едва ли скоро будет осуществлена. ,
Гораздо более реальное решение проблемы видится в том, что весь полет - от стар та до финиша - проведут одни, и те же исполнители. Путь к этому - программированный анабиоз, при котором члены экипажа периодически, и попеременно переходят от пассивного состояния к активной деятельности.
Не менее настоятельно требуют исследований задач анабиоза «земные дела». Человек попал в катастрофу, и у него размозжена печень или вследствие болезни из строя вышла почка. И в том, и в другом случае органы следует заменить. Для этого необходимо иметь специальное хранилище - банк. Это запас особо обработанных тканей, и органов, которые в нужный момент могут быть возвращены к жизни. Метод обработки - консервация холодом. ।
Даже при не очень низких температурах количественно, и качественно меняются процессы обмена веществ. Нельзя ли использовать это обстоятельство для борьбы с некоторыми недугами? В 1939 году американские ученые Смис, и Фэй опубликовали работы, вызвавшие настоящую сенсацию.
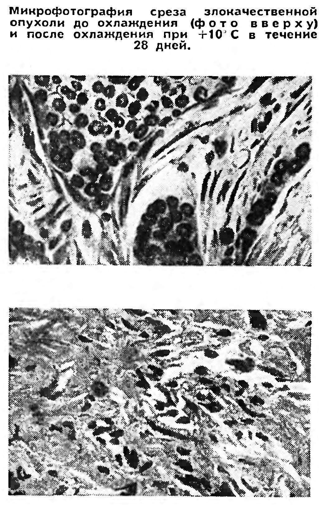
Они снижали температуру тела больных, у которых были опухоли, до 27 - 28’ я держали их в состоянии спячки (с перерывами) в общей сложности до 40 дней. Пробы, взятые из опухолей, показали изменения в строении тканей, в ряде случаев - обратное развитие. Как выяснилось впоследствии, эти изменения временные, по все же для умеренного оптимизма имеются основания - во всяком случае, несомненно, что холод ослабляет развитие опухоли.
В настоящее время криобиология, наука о влиянии холода на живой организм, прочно вошла в сферу интересов иммунологов, биохимиков, биофизиков, и работников ряда других специальностей.
Будем откровенны не станем скрывать свою страстную мечту - покорение времени. Наше смирение перед смертью - это лишь дань ее неизбежности. У кого не забьется сердце при намеке на победу над ней? Но будем, и рассудительны преодолеть, побороть старение организма едва ли удастся в ближайшем будущем.
Теперь представим себе, что проблема анабиоза решена, и можно вырваться из потока времени. Над застывшим в оцепенении человеком проносятся годы, столетия, но он не меняется, он ни жив, ни мертв, и в любой момент может войти в жизнь или выйти из нее. Общая продолжительность его активной деятельности - это те же 70 - 80 лет, но они расходуются порциями, растягиваясь на века. Конечно, такая прерывистая жизнь-только паллиатив долголетия, но весьма заманчивый. Миллионы людей умирают преждевременно, умирают потому, что еще не найдены способы лечения тех или иных заболеваний. А если ввергнуть такого безнадежно больного человека в состояние анабиоза, и вернуть к жизни, когда излечение станет возможным?
Помните описание в романе Уэллса «Первые люди на Луне»?
« - А это, что? - воскликнул я, увидев большого неуклюжего селенита, неподвижно лежащего ничком среди грибов. Мы остановились.
- Мертвый? - спросил я.
- Нет, - ответил Фи-у. - Он рабочий, сейчас нет работы. Лучше немного выпить - спать, пока не надо. Зачем будить? Незачем болтаться.
- А вот другой! - вскричал я»
Оказалось, что весь огромный лес усеян спящими безработными селенитами. Их позы, выражающие покорное страдание, вся картина бесприютности ненужных существ вызывают чувство жалости.
Уэллс подчеркивает этой безотрадной картиной безжалостную систему эксплуатации в уродливом иерархическом обществе. Однако сама идея прерывистой жизни этим не дискредитируется.
Возможность полной обратимой остановки жизни не подлежит сомнению, это факт, подтвержденный опытом. Беккерель, Лайет, братья Гец, и другие исследователи высушивали, и охлаждали до температуры - 190°С небольшие простые организмы, выдерживали их при этой температуре много дней, и месяцев, а потом возвращали к нормальной жизнедеятельности. А ведь -190° - это температура, при которой, какие-либо жизненные процессы невозможны хотя бы уже потому, что не только коллоиды тканей, но, и многие газы находятся в твердом состоянии.
Нельзя, к великому сожалению, бросить крупное животное в жидкий воздух или азот, и затем вернуть его к жизни. При погружении в сжиженный газ температура тела начнет понижаться с невероятной скоростью, порядка сотен градусов в минуту, но до центра тела холод дойдет все же недостаточно быстро. Будет происходить нарастающее образование льда, разрывающего острыми краями ткани; в постепенно замерзающей воде растет концентрация солей, пагубно действующая на клетки.
Мы еще вернемся к попыткам молниеносной атаки на организм с целью осуществить анабиоз, а здесь отметим, что неудачи заставили исследователей перейти к планомерному изучению тех изменений, которые происходят в организме при его охлаждении.
В чем сущность анабиоза? Прекрасную иллюстрацию его дал выдающийся русский ученый П. И. Бахметьев (1860 - 1913), физик по специальности, биолог по интересам, человек, которому наука обязана современной постановкой проблемы анабиоза «Вот часы с обыкновенным маятником, они идут, издавая тик-так-так, - они живут. Мы останавливаем рукой маятник, и часы останавливаются, они умолкают - они более не живут, но они не умерли, так, как стоит лишь толкнуть маятник, и они пойдут, заживут прежней жизнью»
Да, организм некоторым образом подобен часам. Скорость жизненных процессов в значительной степени определяется активностью ферментов, этих белковых молекул, которые ускоряют течение химических реакций в организме. Ферменты подобны шестеренкам часов, а интенсивность жизненных процессов соответствует скорости движения стрелки. Придерживая маятник, и уменьшая активность ферментов, можно замедлить движение стрелки. При полной остановке маятника ферментативная активность прекращается, интенсивность жизненных процессов падает до нуля, стрелка неподвижна. Это и есть анабиоз. Смерть - это тоже остановка часов, но при смерти от старости пружина раскручена до конца, при смерти от болезней поломаны шестеренки. Такие часы больше не пойдут.
Рассмотрим явления, происходящие при постепенном понижении температуры внешней среды.
«Приспосабливаясь, сохраняюсь» - таков девиз холоднокровных (пойкилотермных) животных, попавших в холод. Температура их тела пассивно следует за температурой среды. При ее понижении активность ферментов падает, и жизнедеятельность уменьшается - до лучших времен.
«Сохраняюсь, сопротивляясь» - лозунг высокоорганизованных теплокровных (гомойотермных) животных. Сначала включаются защитные приспособления, амортизирующие падение температуры тел. В частности, мозг отдает мышцам команду «Работать!» Дрожь, которая нас охватывает на холоде, повышает теплопродукцию и замедляет падение температуры тела. Вот опыты с теплокровными, которые провели два сербских ученых - И. Жиайя, и С. Желинео. Они помещали животных в большой металлический ящик с двойными стенками, изолированный от окружающей среды опилками и деревянным футляром. Между стенками ящика циркулировали охлажденные смеси или жидкий воздух. Внутрь ящика нагнетался атмосферный воздух, необходимый для дыхания, затем ящик плотно закупоривался. Оказалось, что животные могут выдерживать в течение нескольких часов очень низкие температуры без, каких-либо болезненных проявлений, причем температура их тела долгое время остается нормальной, и лишь в конце опыта несколько понижается. Собака в течение нескольких часов выдерживает температуру - 160°С. Это кажется невероятным, но вспомним о фокусе, который любят показывать обладатели сжиженных газов. Руку, опущенную в сосуд с охлажденным воздухом, можно держать там несколько минут без всяких неприятностей; опасно лишь коснуться рукой металлических стенок сосуда.
На протяжении многовековой эволюции закреплялась способность теплокровных животных сохранять высокую активность при холоде, согреваться движением, находить убежище от холода. С понижением температуры внешней среды возбуждается находящийся в мозгу центр терморегуляции, и это вызывает возрастание активности ферментов в тканях, начинает вырабатываться больше тепла для поддержания нормальной температуры тела. Следовательно, пытаясь погрузить в анабиоз теплокровное животное, надо прежде всего подавить сопротивление организма холоду, добиться состояния пойкилотермии.
Проблема эта сложная, теория вопроса окончательно не разработана, но некоторые ее аспекты в, какой-то мере уже ясны.
Одна из наибольших трудностей, по-видимому, в следующем при понижении температуры среды активность ферментов, как уже говорилось, увеличивается, ткани требуют больше кислорода, а возможности его доставки ограниченны сердце не может биться, как угодно часто, и сильно, а капиллярные сосуды тканей беспредельно расширяться, гемоглобин не может связывать в легких кислород в любых количествах и т. д. Иначе говоря, резервы гемодинамики истощаются. Наступает опасность кислородного голодания тканей, их гибель. Однако положение здесь не безнадежно, может выручить то обстоятельство, что сдвиги нервной системы имеют фазовый характер. Центр терморегуляции под влиянием холода сначала возбуждается, затем тормозится. В этой фазе активность ферментов понижается, и потребность в кислороде уменьшается. Температура тела падает, при этом уменьшается и доставка кислорода тканям. Но поскольку влияние низкой температуры на активность ферментов в этот момент является определяющим, то потребность в кислороде падает быстрее, чем затрудняется его доставка. Наконец, наступает момент, когда организм легко, даже с запасом возможностей удовлетворяет эту потребность. Вот почему у больных с сердечными, с легочными заболеваниями улучшается состояние при низкой температуре тела, если ее удается достигнуть. Добиться этого нелегко, организм должен миновать опасную зону кислородной недостаточности, а именно больному организму это дается с большим трудом. К тому же сложность данной проблемы не исчерпывается представленной схемой, имеются обстоятельства, отчасти не выясненные, которые осложняют тактику исследователя.
И, несмотря на это, одержана крупная победа на пути к подавлению терморегуляции, на пути к анабиозу.
Во время второй мировой войны в одном из воздушных налетов на Белград была уничтожена университетская библиотека. И югославский физиолог Анджус, принимаясь за опыты, не знал (вся литература погибла), что наименьшая температура тела, которую выдерживают крысы, +15°С. Вооруженный незнанием, Анджус поместил крысу в герметический сосуд, и обложил его льдом. Без затруднений удалось снизить температуру ее тела до 4-1°С.
Сегодня нам понятна причина успеха этого опыта. В герметическом сосуде накапливался выдыхаемый крысой углекислый газ, способный подавлять центр терморегуляции в мозгу. В этой ситуации температура тела крысы при охлаждении начинает падать, как у холоднокровных, и пониженная доставка кислорода удовлетворяет еще более низкую потребность в нем тканей. Можно удивляться тому, что понадобилось случайное стечение обстоятельств, интуиция, и смелость исследователя, чтобы воспроизвести давно известное в природе явление.
Микрофотографии, на которых запечатлена картина замораживания и оттаивания крови кролика. Вверху слева - начало кристаллизации, справа - форма кристаллов при - 30э. Внизу слева - процесс оттаивания, справа - после оттаивания.
Медведь, впадающий в спячку, предварительно готовится к ней, в частности закупоривает щели своей берлоги, - углекислый газ, который он в нее надышит, не должен утекать.
Анджусу удалось решить, и другую, не менее важную задачу. Он оживил охлажденную до +1° С крысу, заставил работать остановившееся сердце, возобновил дыхание.
Вскоре эта методика обросла техническими усовершенствованиями. Было применено, в частности, экстракорпоральное (то есть вне тела) охлаждение циркулирующей крови - это более быстрый и лучше контролируемый процесс охлаждения, чем обкладывание льдом. Метод быстро завоевал признание хирургов, оперирующих на сердце, пережил период цветения и, наконец, уступил место другим ввиду ряда недостатков. Основной из них - нельзя долго держать человека при температуре тела 25 - 20°С (ниже ее не опускали), а животное - при 1°С.
Но +1°С - это еще не анабиоз. Активность ферментов полностью подавляется при температуре не выше - 40°С, по другим данным - при - 70°С. Давайте прикинем. При 1°С жизненные процессы замедляются примерно в 100 раз. Это выраженный гипобиоз. Организм в течение 100 лет оцепенения при такой температуре старится на один год. Что же, плата не слишком высока, можно пожертвовать годом жизни для того, чтобы перенестись на 100 лет вперед!
Увы, и это еще недостижимо. Животные выдерживают состояние охлаждения до 1°С всего 1 - 2 часа. Затем наступает гибель. Очевидно, здесь сказывается дискоординация жизненных процессов. Дело в том, что при снижении температуры активность ферментов не просто понижается, а понижается в различной степени. Между тем работа целой ферментативной системы возможна лишь в определенном диапазоне различных активностей, составляющих единую работающую ферментативную систему организма. 100 минут гипобиоза - это минута активной жизни, такой срок животное часто не может прожить при разлаженных ферментативных системах. Есть надежды устранить или обойти это затруднение? Они появились после открытия американской исследовательницы Смит. Она обнаружила, что определенную роль в процессе охлаждения животных играет глицерин.
Открытие пришло неожиданно. Смит пыталась с помощью левулезы (один из видов сахаров) повысить выживаемость сперматозоидов, охлажденных до низких температур. Не добившись цели, она поместила раствор левулезы в холодильник и перешла к разработке других методов хранения спермы. Несколько месяцев напряженного труда не принесли сколько-нибудь утешительных результатов, и исследовательница вернулась к оставленным опытам с левулезой. Каково же было ее удивление, когда сперматозоиды, разбавленные старым раствором левулезы, выжили, перенеся охлаждение до температуры - 79° С!
Между тем свежие растворы левулезы по-прежнему не защищали сперматозоидов. Очевидно, дело в сроке хранения. Раствор подвергают анализу и обнаруживают в нем глицерин. Оказывается, удача пришла при замораживании сперматозоидов в растворе, предназначенном для обработки мазков, и последующей их микроскопии. При этом в этот раствор глицерина случайно не добавили полагающийся кристалл тимола, препятствующего росту плесени (вероятно, тимол погубил бы и сперматозоиды). Раствор глицерина случайно оказался в холодильнике рядом с раствором левулезы, с обеих склянок соскочили этикетки, произошла путаница, и в результате - перспективное открытие в проблеме анабиоза.
С тех пор глицерин стал объектом пристального внимания. Вкратце, его удивительные свойства следующие смешивается с водой в любых пропорциях, проникает в клетки, не разрушая их, малотоксичен для организма даже в больших концентрациях и, главное, препятствует сплошному льдообразованию, так, как сам замерзает лишь при температуре - 76°С. При этом он разбавляет незамерзший насыщенный раствор соли, вредный для клеток.
Смит кормила золотистых хомячков пропиленгликолем, близким по свойствам к глицерину, доводила температуру тела животных до - 10°С и возвращала их к нормальной жизнедеятельности. Холодовый порог для млекопитающих был еще раз снижен, была преодолена еще ступенька на крутой лестнице, ведущей к анабиозу.
И вновь обнаружилось, что исследователь повторил опыт, который природа повсеместно ставит в своей обширной лаборатории. Многие насекомые, обитающие в холодных зонах планеты, отлично переживают охлаждение до - 20"С. Они превращаются в сплошной кусок льда, оттаивают, снова замерзают. Было установлено, что во многих случаях это объясняется тем, что в организме насекомых вырабатывается глицерин. Так, пенсильванские муравьи-древоточцы, подвергнутые охлаждению, накапливают до 10% глицерина, который бесследно исчезает при согревании муравьев до комнатной температуры.
Мы еще не умеем вводить глицерин в организм человека так, чтобы создать в тканях нужную его концентрацию, не можем заставить организм вырабатывать глицерин. Впрочем, едва ли дальнейшее безвредное понижение температуры сводится к одному лишь глицерину. Во всяком случае, исследования показали, что холодостойкость насекомых обусловлена не только им. Выяснилась значительная роль «закаливания». Так, опыты советского ученого Лозино-Лозинского показали, что гусеницы кукурузного мотылька, «закаленные» при 0°С, оживали после замораживания до - 78°С, и последующего согревания. Кукурузный мотылек - организм холоднокровный, он гораздо меньше по размерам и проще устроен, нежели теплокровное животное (не говоря уже о человеке!), но все же у него есть развитая нервная система, кровообращение, это уже не, какая-нибудь коловратка. Л - 78°С, в свою очередь, не ступенька на пути к анабиозу, а это сам анабиоз. Замечательный, многообещающий успех!
В связи с этим приходят некоторые соображения относительно работ Пиктэ, известного швейцарского физика. Еще в 1893 году он сообщил, что лягушка выдерживает длительное замерзание при - 28°С, змея - 25°С, улитка - 110°С. Это настолько расходилось с общеизвестными данными, что вызвало возражения, хотя, и выраженные в деликатной форме - «дань уважения к славному имени знаменитого экспериментатора. Пиктэ мимоходом отметил, что предварительно выдерживал животных при более высоких температурах, чем окончательные, - подробность, которой, естественно, тогда не придали значения. Может быть, в опытах Пиктэ определенную роль сыграло «закаливание»? Тогда отпадают подозрения в технических погрешностях автора, а сами опыты требуют повторения, проверки и развития.
Механизм «закаливания» так же еще не раскрыт, как, и многое в проблеме анабиоза, но невольно приходит в голову мысль о некотором привыкании, приспособлении ферментов друг к другу, восстановлении их расстроенной координации, требующем времени. (Не в этом ли, хотя бы отчасти, и роль глицерина?) Последние открытия в области энзимологии, науки о ферментах, позволяют высказать, и некоторые более конкретные соображения об этом механизме.
Каждый фермент - это, собственно, группа молекул, тождественных по структуре функций, но различающихся по активности и некоторым другим свойствам. По аналогии с изотопами элементов им присвоили название изоферментов. В организме при нормальных условиях взаимодействуют изоферменты, которые совместно обеспечивают слаженность жизненных процессов. Остальные изоферменты подавляются. При снижении температуры организма активность доминирующих изоферментов также снижается, но в различной степени, наступает дискоординация жизненных процессов. Тогда в организме начинают воспроизводиться такие «представители» ферментов, которые наилучшим образом подходят друг к другу в новых условиях. На их выработку, и накопление необходимо время, это и есть время «закаливания»
Эту идею можно было бы проверить на простой модели - изолированном органе. Недавно сотрудник Института трансплантации органов, и тканей * АМН СССР Э. Г. Шифрин разработал аппарат, поддерживающий нормальную жизнедеятельность такого органа. Его можно охладить, поддерживая минимальный обмен веществ, вернуть к нормальным условиям существования, вновь охладить, снова нормализовать жизнедеятельность и проследить, не возрастает ли раз от раза время сохранения жизнедеятельности при гипотермии. Изложенное - не более чем предположение автора статьи, и он нисколько не настаивает на его справедливости - для этого нет, собственно, фактических данных. Мы лишь выполняем пожелание, высказанное Смит «Может быть, все, что сейчас нужно, это, какая-нибудь несложная, но новая идея.»
В заключение вернемся к попытке осуществить анабиоз стремительной холодовой атакой на организм. В основе этих попыток лежит здравая идея. Если жестокий перепад температуры от +37° до - 180° произойдет в считанные мгновения, то опасности для организма он не должен бы представлять. Не успеет наступить удушье тканей, не проявится дискоординация функций, не произойдет образование льда. Вода, ее растворы, минуя стадию кристаллизации, перейдут в стекловидное состояние (это явление называется витрификацией), и ткани не будут механически разрушены. По существу, здесь биологическая проблема превращается в инженерно-техническую. Она заключается в том, чтобы найти способ, позволяющий в кратчайший промежуток времени, видимо, в десятые доли секунды, витрифицировать крупное животное.
Может быть, нужно изменить физические свойства воды организма? Замена ее аномальной полимерной водой, возможно, решила бы задачу, но где он, этот литр аномальной воды, столь необходимый для первого опыта? Кстати, инженерам, физикам, и химикам предстоит решить не менее сложную «обратную» задачу - заставить организм столь же молниеносно пройти зону кристаллизации и другие опасности при возвращении из анабиоза, и не перегреть подопытный субъект. Сейчас обсуждение этих проблем для многих, вероятно, кажется фантастичным, но вспомните, ведь такой же фантастикой еще недавно представлялись космические полеты.
Читайте в любое время

