Восемь значимых событий 2025 года в биологии и медицине
Материал подготовил Кирилл Стасевич
Современные искусственные ноги и руки так соединены с нервной системой человека, что не просто двигаются, но и обладают определённым осязанием.
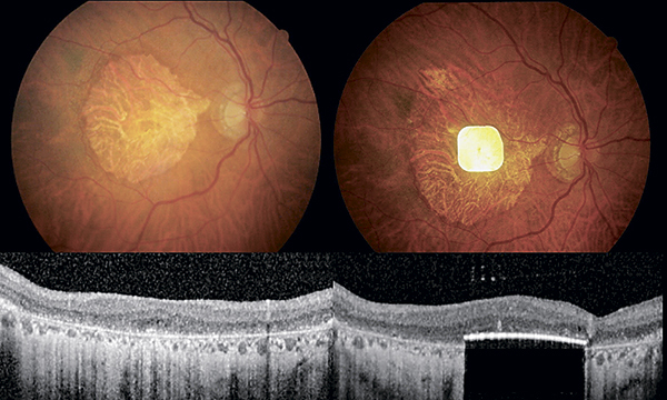
1. ЗАПЛАТКА ДЛЯ СЕТЧАТКИ
Говоря о высокотехнологичных протезах, обычно имеют в виду протезы конечностей. Современные искусственные ноги и руки так соединены с нервной системой человека, что не просто двигаются, но и обладают определённым осязанием: протез позволяет в какой-то мере почувствовать текстуру поверхности или силу, с которой человек сжимает предмет искусственной кистью. Но руки и ноги, прямо скажем, не самые сложные части тела, а осязание — не самое сложное из чувств. И если взять, к примеру, глаз, то глазной протез — это пока что-то из области фантастики. Впрочем, не исключено, что создание глазного протеза не такая уж неразрешимая задача, как кажется на первый взгляд.
В последнее время появляется много работ, в которых ищут способ справиться с макулярной дегенерацией сетчатки, или макулодистрофией. Макулой, или жёлтым пятном, называют овальную зону сетчатки с наибольшей остротой зрения, расположенную напротив зрачка. Благодаря рецепторам макулы мы можем читать, писать, водить машину, различать самые мелкие детали. У некоторых людей рецепторы макулы начинают со временем стремительно отмирать. Развивается макулодистрофия — одна из самых частых причин слепоты у пожилых людей.

Больная сетчатка без имплантата (слева) и с имплантатом. Источник: Science Corporation.
Какие здесь есть варианты? Обычно ставка делается на клеточную и генную инженерию. В сетчатку можно пересадить здоровые рецепторы от донора; можно внедрить в нерецепторные клетки сетчатки ген, который превратит их в рецепторы; можно генетическим редактированием затормозить гибель палочек и колбочек пациента; можно использовать стволовые клетки, превратив их в специализированные клетки сетчатки и пересадив в больной глаз. Всё это в большинстве случаев ограничивается пока только экспериментами на животных, хотя эксперименты со стволовыми клетками проводили на людях, и даже относительно успешно. Однако возможен и другой подход.
В октябре прошлого года в New England Journal of Medicine была опубликована статья о фотовольтаическом имплантате, который внедряли в сетчатку больным с макулодистрофией. При макулярной дегенерации отмирают только рецепторы, то есть остаётся возможность передавать оставшимся нервным клеткам электрические импульсы, которые по зрительному нерву отправятся в мозг. Имплантат как раз и должен был заменить отмершие рецепторы. В исследовании приняли участие 38 человек, у которых макулодистрофия началась давно. Фотовольтаические устройства превращают энергию света в электрический ток; имплантат размером 2 x 2 мм и толщиной 20 мкм с помощью электрического тока стимулировал нейроны сетчатки. Правда, этот имплантат работал от инфракрасного света, так что участники исследования должны были носить специальные очки, превращавшие обычный свет в инфракрасный. Очки позволяли менять контрастность и яркость, и после операции человек ещё несколько месяцев тренировался, чтобы научиться ими пользоваться.
К концу эксперимента из 38 человек по разным причинам осталось 26. Зрение у них действительно улучшилось: в обычном зрительном тесте с уменьшающимися рядами букв они стали различать дополнительно два ряда. Большинство снова смогли читать, по крайней мере, в домашней обстановке. Правда, нельзя сказать, что их зрение вернулось к прежнему состоянию. Скорость чтения оставалась низкой: участники исследования различали числа, буквы и слова, но необходимость соединять слова требовала усилий. Кроме того, зрение было чёрно-белым, распознавать цвета имплантат не позволяет. Во многом это связано с количеством элементов в нём, которые переводят свет в электрические импульсы, но тут можно надеяться, что конструкцию имплантата будут совершенствовать. Ещё остаётся вопрос, насколько улучшение зрения было обусловлено собственно имплантатом, а насколько — усилиями самого человека, который тренировался пользоваться инфракрасными очками. Вообще, в перспективе может оказаться, что для протезов-имплантатов сетчатки нужно будет использовать не фотовольтаические устройства, а какие-то другие. Но в данном случае сам факт, что начали появляться подобные устройства, пусть несовершенные и сугубо экспериментальные, кажется весьма знаменательным событием.
2. ГЕНЕТИЧЕСКИЙ РЕДАКТОР СПАСАЕТ ДЕТЕЙ
Генетическую инженерию используют в медицине не первый год. Но использовать её можно по-разному. В одних случаях у пациента берут делящиеся клетки, исправляют в них генетический дефект и вводят обратно: исправленные клетки замещают собой больные. В других случаях генетический редактор вводят прямо в организм пациента, где он просто отключает определённый ген, который доставляет проблемы и без которого можно обойтись. Бывает, что отключаемый ген не является непосредственной причиной болезни, однако, подавив его работу, можно запустить компенсаторные механизмы, смягчающие патологию.
В случае, который описан в мае 2025 года в New England Journal of Medicine, всё было сложнее: неправильно работающий ген требовалось не отключать, но исправить. Пациентом был ребёнок, которому не исполнилось ещё и года, с недостаточностью фермента карбамоилфосфатсинтетазы I (CPS I). И у отца, и у матери одна из копий гена фермента оказалась мутантной, но никакой недостаточности у них не было — здоровая копия работала как надо. Но ребёнку досталось по мутантной копии от каждого родителя. Карбамоилфосфатсинтетаза I участвует в цикле мочевины: с её помощью аммоний, образующийся при расщеплении белков, превращается в мочевину, которая выводится из организма. При неработающей CPS I ионы аммония NH4+ накапливаются в крови и, будучи токсичными, начинают вредить тканям и органам, в первую очередь мозгу. Чтобы как-то сдержать отравление аммонием, придерживаются специальной диеты с пониженным содержанием белков, но всех проблем диета не решает, особенно если учесть, что у младенческого организма есть свои требования к питанию. От недостаточности карбамоилфосфатсинтетазы I можно избавиться пересадкой печени, так как реакции цикла мочевины идут в печёночных клетках. Но тут была большая вероятность, что ребёнок просто не доживёт до того момента, когда ему можно будет пересаживать печень.
Было решено использовать генетический редактор CRISPR/Cas*. В самых общих чертах его суть такова: с помощью модифицированных бактериальных ферментов ДНК разрезают в строго определённом месте, после чего сама клетка зашивает разрез в соответствии с шаблоном, который в неё вводят вместе с разрезающим ферментом. Какой шаблон дадут клетке, так и будет выглядеть редактируемый участок генома. Метод оказался очень точным и сравнительно простым — по сравнению с другими способами генетического редактирования.
Потребовалась большая работа, чтобы настроить редактор на нужные участки ДНК в геноме именно этого конкретного ребёнка. Препарат давали трижды, и первую его дозу младенец получил, когда ему было полгода. Вскоре он стал есть обычную еду, соответствующую его возрасту, с обычным уровнем белков, хотя ему при этом давали лекарства, понижающие уровень аммония в крови. К восьми месяцам ребёнок получил вторую и третью дозы препарата с генетическим редактором; понижающие аммоний средства ему пока дают, но всё меньше и меньше. Никаких побочных эффектов не случилось, но врачи продолжают наблюдать, как всё идёт, и насчёт полного излечения говорят пока с осторожностью.
Стоит ещё раз подчеркнуть, что здесь не было никаких обходных путей, которые могли бы скомпенсировать недостаточность фермента, и ген нужно было не отключать, а исправлять. Это требует намного больших усилий, и лечение получается сугубо индивидуальное. То есть для другого человека с неработающим геном карбамоилфосфатсинтетазы генетический редактор нужно будет настраивать по-новому. Хотя не исключено, что в будущем перенастраивание генетического редактора под индивидуальный случай станет рутинной и вполне дешёвой процедурой.
3. ИИ ДЛЯ ВИРУСОВ
В последние годы мы наблюдаем настоящую революцию в искусственном интеллекте (ИИ), а точнее, в алгоритмических нейросетях глубокого обучения. Эти нейросети с энтузиазмом используют исследователи в самых разных областях. В огромном количестве ИИ-результатов есть очень значимые и не очень значимые, и выбрать из них самые-самые весьма непросто. Но всё же рискнём и вспомним одну работу, опубликованную в сентябре 2025 года на сайте bioRxiv. Её авторы с помощью ИИ конструировали новые бактериофаги, то есть вирусы, специализирующиеся на бактериях. За основу был взят фаг ΦX174, заражающий кишечную палочку. Среди многочисленных штаммов кишечной палочки есть такие, которые ΦX174 заразить не может. Задача была сделать варианты фага, которые могли бы заражать такие фагоустойчивые штаммы.

Структура белкового капсида бактериофага фX174. Источник: Fdardel/Wikimedia Commons, CC BY-SA 3.0.
Сконструировать вирус означает сконструировать его геном. Алгоритм тренировали более чем на двух миллионах фаговых геномов. Затем он должен был, «держа в уме» фаг ΦX174, сделать геном против ΦX174-устойчивых кишечных палочек. На выходе получилось несколько тысяч геномных последовательностей, число которых потом уменьшили до 302. Большая часть из них была похожа на природный ΦX174 (сходство последовательностей составляло в среднем более 40%), но некоторые из предложенных вирусов оказались совсем другими. Иными словами, хотя основой должен был быть ΦX174, алгоритм, помня о двух миллионах фаговых геномов, в некоторых случаях отошёл от основы довольно далеко. Эти 302 по-следовательности проверили экспериментально на настоящих бактериях. Шестнадцать из них специфично заражали именно кишечные палочки. В итоге исследователи сумели составить комбинации из нескольких ИИ-сгенерированных фагов, которые поражали три разных штамма кишечной палочки, недоступные для обычного ΦX174.
Среди фагоустойчивых штаммов кишечной палочки есть такие, которые одновременно устойчивы к антибиотикам. То есть вирусы, сделанные под заказ, можно использовать против бактерий, от которых невозможно избавиться обычными антибактериальными средствами. Разумеется, ИИ-вирусы нужно делать так, чтобы обычная генетическая пластичность, присущая вирусам, была в них подавлена и они не могли спустя сотню-другую поколений измениться нежелательным образом.
С помощью ИИ сейчас конструируют самые разные молекулы, вплоть до белков. Но в данном случае речь идёт о целом геноме, пусть и совсем маленьком — у фага ΦX174 он содержит всего одиннадцать генов. В любом геноме есть сложная система взаимодействий и взаимовлияний, в которую входят не только кодирующие последовательности с информацией о белках, но и множество регуляторных участков. Гены могут влиять друг на друга с помощью закодированных в них белков, они способны подчиняться одному регуляторному блоку, разные регуляторные блоки могут влиять на одну и ту же последовательность в геноме и т. д. и т. п. Всё это отражается как в последовательностях генетических букв, так и в расположении больших блоков генетической информации относительно друг друга. Взаимодействия генов далеко не всегда понятны. Поэтому успешное моделирование генома, пусть и вирусного, стоит отдельного упоминания.
4. КИШЕЧНОЙ ПАЛОЧКЕ УРЕЗАЛИ ГЕНЕТИЧЕСКИЙ КОД
Генетический код — это тройные комбинации генетических букв, соответствующих белковым аминокислотам. Генетическими буквами неформально называют нуклеотиды — сложные молекулы, состоящие из азотистых оснований, углеводного остатка и остатка фосфорной кислоты и образующие длинные полимеры ДНК и РНК. Тройные комбинации букв называют триплетами, или кодонами. Одно из свойств кода — его вырожденность: большинство аминокислот кодируется двумя, четырьмя и даже шестью синонимичными кодонами.
Играет ли вырожденность генетического кода какую-то биологическую роль? Ответить на этот вопрос можно, лишив клетку какого-нибудь из избыточных кодонов. Лишив — не значит вырезав: на место одного кодона нужно поставить другой, идентичный ему по смыслу. Например, глутаминовую аминокислоту кодируют тройки GAA и GAG. Если мы хотим получить геном, в котором нет GAG, то во всех кодонах GAG нужно заменить по-следний G на А, чтобы этому месту в геноме всё равно соответствовала та же глутаминовая аминокислота. Учитывая размеры геномов, можно понять, какая непростая работа ждёт того, кто захочет поставить подобный эксперимент. Тем не менее несколько лет назад геном кишечной палочки удалось избавить от двух избыточных аминокислотных кодонов и одного избыточного стоп-кодона — вместо 64 комбинаций букв в геноме осталась 61. Для этого потребовалось внести в бактериальную ДНК более 18 тысяч исправлений. Модифицированные кишечные палочки жили и размножались, пусть и слегка медленнее, чем немодифицированные. Самочувствие бактерии, впрочем, было не главным предметом интереса — результат говорил в первую очередь о том, что подобная задача решаема.
В августе 2025 года в журнале Science была опубликована статья о кишечной палочке, которую лишили шести аминокислотных кодонов и одного из стоп-кодонов (стоп-кодоны указывают, в каком месте последовательности букв нужно прекратить синтез белка). Новые бактерии росли в четыре раза медленнее, чем немодифицированные; кроме того, у них менялась активность генов. Почему они росли медленнее и почему менялась активность генов, исследователи будут выяснять в дальнейших экспериментах. Пока ясно одно — даже такое сокращение словаря клетка в принципе способна выдержать, по крайней мере, клетка бактерии.
С одной стороны, несколько кодонов на одну аминокислоту уменьшают вероятность опасных мутаций, когда одна буква меняется на другую — мутация случится, но ничего плохого не сделает. (Тут нужно оговориться, что у букв в триплетах-кодонах разная значимость, и всё зависит от того, какая именно буква в триплете будет мутирована.) С другой стороны, есть косвенные данные, что избыточные кодоны не так уж избыточны. Когда у дрожжей в каком-то гене одни кодоны меняли на другие, синонимичные, клетки начинали себя плохо чувствовать, хотя, повторим, аминокислотный смысл при замене кодонов сохранялся, аминокислоты в белке оставались на своих местах. Но это всё-таки дрожжи, то есть эукариоты, — их геном больше, чем у бактерий, их клетка организована иначе, чем у бактерий, и вообще это другой домен живых организмов. Как бы то ни было, подобные эксперименты помогают понять самые основы жизни — в частности, почему генетический код устроен так, как он устроен.
5. КУБИК НЕЙРОНОВ
В последнее время появляется много исследований, посвящённых клеточному картированию, когда ткань и орган буквально разбирают по клеткам, описывая для каждой активность генов, модификации белков, состояние обмена веществ и пр. Такие клеточные 3D-карты, или атласы, создавались и раньше, но при всей многочисленности подобных работ они пока ещё не превратились в научную рутину. В первую очередь это касается нейронных карт мозга. Нейроны передают сигналы по длинным и разветвлённым отросткам, которые образуют друг с другом контакты-синапсы. Чтобы построить полную клеточную карту мозга, надо «прорисовать» в ней не только сами клетки с их отростками, но и все их контакты. Для человеческого мозга более чем с 80 миллиардами нейронов и 100 триллионами синапсов это пока что неподъёмная задача. Если говорить о мозге в целом, самое крупное достижение тут — мозг дрозофилы: для него удалось построить атлас со 140 тысячами нейронов и 54,5 миллиона синапсов. У млекопитающих пока пытаются картировать только очень и очень небольшие объёмы. В 2024 году в Science вышла статья с описанием 1 мм3 человеческого мозга, вырезанного во время операции. Его трёхмерная карта включала в себя около 57 тысяч клеток и 150 миллионов синапсов, однако массы деталей в ней не хватало и разрешение было недостаточно высоким.

Фрагмент клеточной карты 1 мм3 зрительной коры мышиного мозга. Иллюстрация из статьи: Elabbady L., Seshamani S., Mu S. et al. Perisomatic ultrastructure efficiently classifies cells in mouse cortex. Nature 640, 478—486 (2025), CC BY-SA 4.0.
Прошлой весной в Nature и Nature Methods вышло восемь статей с описанием 1 мм3 мозга мыши. Этот кусочек взяли из зрительной коры, и его карта включает в себя более 200 тысяч клеток (из которых около 82 тысяч приходится на нейроны, а остальное — на глиальные клетки мозга) и более 500 миллионов синапсов; общая длина отростков составляет свыше четырёх километров. Здесь важно, что эту карту начали делать ещё с живой мышью. Мышь бежала по беговой дорожке и одновременно смотрела разные видеоролики, которые длились по десять секунд, общая же их продолжительность составляла два часа. Пока мышь смотрела видео, исследователи записывали активность корковых нейронов, занимающихся первичной обработкой зрительных сигналов.
Затем кусочек зрительной коры размером, как было сказано, 1 мм3 нарезали примерно на 28 тысяч ломтиков, чтобы просканировать их в электронном микроскопе. Получившиеся картинки состыковали, прослеживая путь и принадлежность каждого отростка и каждого синапса. Эту чисто физическую карту объединяли с данными, полученными при наблюдении за активными нейронами. Естественно, здесь было не обойтись без искусственного интеллекта, хотя ошибки ИИ потом всё равно исправляли вручную. По ходу работы удалось ещё раз подтвердить старую теорию, что нейроны, реагирующие на одинаковый стимул, будут теснее взаимодействовать между собой. То есть если несколько зрительных нейронов реагируют на одну и ту же форму или на одно и то же направление движения, то между ними будет больше сильных синаптических контактов; причём нейронам даже не обязательно находиться рядом, их отростки могут тянуться друг к другу издалека. Это правило организации нейронных сетей раньше проверяли только на небольшом числе нейронов и синапсов. Сейчас оно подтвердилось в более крупном масштабе.
В проекте было задействовано 150 исследователей из 22 научных центров. Построение карты кубического миллиметра нервной ткани, составляющей 0,2% мозга мыши, заняло девять лет. Объём данных, который в ней заключён, составляет 1,6 петабайт. Можно представить себе, какие усилия понадобятся для целого мозга. Впрочем, совсем недавно даже такая карта казалась невозможной. Может быть, в будущем подобная работа станет намного быстрее и дешевле.
6. ЯЗЫКОВЫЕ СЛОЖНОСТИ ШИМПАНЗЕ
Общение животных друг с другом изучают не только для того, чтобы узнать больше о самих животных, но и для того, чтобы понять, как возник человеческий язык. Имеется в виду, конечно, общение голосом: как оно происходит, какие нейронные механизмы в нём задействованы, что именно содержится в голосовых сообщениях, которыми животные обмениваются. В этом смысле особым вниманием пользуются шимпанзе — как-никак, с эволюционной точки зрения они к нам ближе всех. Репертуар голосовых сигналов у шимпанзе довольно широк, среди них можно выделить простые сигналы и сложные. Но что значит «сложные сигналы»? Разные животные, не только шимпанзе, составляют звуки вместе, но обычно считается, что получающаяся сложность чисто внешняя, что звуки комбинируются случайно. Для птиц и приматов было показано, что у них в звуковых сочетаниях появляется новый смысл. Но и этот новый смысл образуется простым сложением, подобно тому, как в словосочетании «чёрная кошка» новый смысл образуется от простого объединения «чёрной» и «кошки».

Фото: Keith Kissel/Flickr.com, CC BY 2.0.
Однако в апреле прошлого года в Science была опубликована статья о том, что в «языке» карликовых шимпанзе, или бонобо, смыслообразование может происходить иначе — когда общий смысл высказывания не равен простой сумме его составляющих**.
Исследователи описали элементарные звуки бонобо в том контексте, в котором обезьяны их произносят. Контекст включал в себя более трёхсот параметров. Звуки бонобо отличались, когда они были одни или в компании, когда они ели, отдыхали или просто переходили с места на место, и т. д. Имели значение не только обстоятельства, в которых прозвучал тот или иной голосовой сигнал, но и то, что происходило после: продолжил ли оратор или его аудитория заниматься тем, чем занимались, или бонобо переключились на другое занятие, или просто перестали что-либо делать. Что до перевода на человеческий язык, то, конечно, у бонобо есть звуки, которые легко интерпретировать — например, предупреждение о хищнике. Но в целом у исследователей не было задачи составить обезьяно-человеческий словарь. Что именно в человеческом понимании означает тот или иной звук, было неважно, главное, что каждый звук можно описать индивидуально и по этому описанию отследить семантические расстояния между ними. Каждый элементарный звуковой сигнал исследователи описывали множеством параметров только для того, чтобы поместить его в многомерную семантическую карту.
Описав элементарные звуки, можно было перейти к их сочетаниям. У сложной комбинации есть несколько признаков: значения звуков, которые в него входят, должны отличаться, смысл сочетания происходит из их отдельных значений, но при этом не должен полностью к ним сводиться. Исследователи использовали методы дистрибутивной семантики, которые вычисляют степень семантической близости между языковыми единицами на основе больших массивов данных. Например, слова «кошка» и «животное», «животное» и «хищник» используются в схожих контекстах, и семантическое расстояние между ними будет сравнительно невелико. А вот между понятиями «кошка» и «космос» семантическое расстояние будет сравнительно большим. Здесь опять нужно подчеркнуть, что вовсе не обязательно знать, что именно обозначают слова «кошка», «животное», «космос» и т. д., — семантическое расстояние можно вывести из их совместной встречаемости. В голосовых сигналах бонобо нашлось четыре звукосочетания, смысл которых по многомерной семантической карте образуется из смысла отдельных звуков. Три комбинации из четырёх оказались явно сложными — их общий смысл был не просто сложением смыслов элементарных единиц, хотя и происходил из них.
Нечто подобное проделали с голосовыми сигналами обыкновенных шимпанзе — посвящённая им статья появилась в мае прошлого года в Science Advances. Результаты оказались похожи на результаты исследования бонобо. В высказываниях шимпанзе обнаружилось шестнадцать парных сочетаний элементарных звуков. Некоторые комбинации означали просто суммарный смысл обоих звуков. Если один звук означал желание поесть, а второй — желание отдохнуть, то вместе они означали, что шимпанзе хочет отдохнуть и поесть. Но были и более сложные случаи. Например, второй звук мог прояснять смысл первого: если первый сам по себе означал готовность поесть или куда-то пойти, то после второго звука становилось понятно, что шимпанзе хочет именно поесть. Иногда значение звукосочетания менялось в зависимости от порядка в нём обоих звуков. И, наконец, были примеры, когда новое значение не равнялось простой сумме значений элементарных звуков. В целом обыкновенные шимпанзе демонстрируют большую «языковую» изощрённость, чем бонобо, хотя, возможно, дальнейшие исследования сравняют счёт между ними. Ставить знак равенства между звуками шимпанзе и человеческой речью не стоит. Но человеческий язык всё же откуда-то взялся, и подобные исследования, возможно, помогут понять, как происходило развитие языковых способностей в эволюции человека и его предков.
7. ВОЛЖСКО-КАВКАЗСКИЕ ИНДОЕВРОПЕЙЦЫ
Индоевропейская языковая семья включает более четырёхсот языков, сформировавшихся на огромном пространстве от Южной Азии до Скандинавского полуострова. Число людей, для которых родным является какой-нибудь язык из этой семьи, перевалило за три миллиарда. Родство между индоевропейскими языками давно доказано, и считается, что все они восходят к одному «предку» — праиндоевропейскому языку. Где жили люди, которые на нём говорили? Об этом вот уже не один десяток лет спорят исследователи по всему миру. По одной гипотезе, индоевропейский праязык возник у фермеров Ближнего Востока, живших около 9000—9500 лет назад в Анатолии, Месопотамии и Леванте. Оттуда индоевропейцы около 8—9 тысяч лет назад выдвинулись на запад, в Европу, и на восток, в Азию. Язык, который они несли с собой, по мере распространения изменялся, превращаясь в целую группу языков. Другая гипотеза называет носителями индоевропейского праязыка представителей ямной культуры. Это были скотоводы, около 6 тысяч лет назад жившие в Черноморско-Каспийской степи, Предкавказье и Среднем Поволжье и в какой-то момент начавшие расселяться на новые земли.
Проблему индоевропейского праязыка решают разными методами — лингвистическими, археологическими, в последнее время к ним добавились ещё и палеогенетические. Изучение ДНК, которая осталась в древних костях, на предметах быта и даже просто в почве, позволяет проследить миграции групп людей: такие сведения могут очень хорошо дополнять лингвистические и археологические данные. Десять лет назад в Nature были опубликованы две палеогенетические работы, результаты которых свидетельствовали в пользу «степной гипотезы», то есть в пользу того, что носителями праиндоевропейского языка были люди ямной культуры. Впрочем, к результатам сразу возникли вопросы, один из которых — вопрос о хеттском языке. Этот давно исчезнувший язык давно исчезнувшего народа относится к индоевропейской семье, однако палеогенетические исследования не обнаружили родства носителей хеттского языка с представителями ямной культуры.
В феврале прошлого года в Nature были опубликованы новые данные, имеющие отношение к проблеме носителей праиндоевропейского языка. Большой коллектив исследователей, среди которых были сотрудники Самарского государственного социально-педагогического университета, Института этнологии и антропологии им. Н. Н. Миклухо-Маклая РАН, Южного федерального университета, Института проблем освоения Севера Сибирского отделения РАН и ряда других российских научных центров, проанализировал несколько сотен древних человеческих геномов, принадлежавших как «ямникам», так и тем, кто предшествовал им на степном юго-востоке вплоть до Кавказа. Задача была в том, чтобы понять, откуда взялись сами «ямники». Выяснилось, что ямная культура возникла среди людей, которые около 6 тысяч лет назад пришли от нижнего течения Волги и от Кавказских гор к Чёрному морю и смешались тут с разными группами охотников-собирателей. Важно, что то же волго-кавказское генетическое наследство обнаруживается у тогдашних анатолийцев. В таком случае можно объяснить, откуда у жителей Анатолии появились индоевропейские языки при отсутствии генетических связей с «ямниками»: волжско-кавказские мигранты принесли индоевропейский праязык и в Анатолию, и в Черноморско-Каспийскую степь, где он перешёл к появившейся ямной культуре.
В каком-то смысле это компромисс между «степной» и «анатолийской» гипотезой — исходными носителями праязыка были обитатели территории между низовьями Волги и Кавказом. Правда, всё равно рано говорить о том, что источник праязыка установлен со всей однозначностью. Всё-таки культурные изменения вообще и языковые изменения в частности не всегда совпадают с миграциями и генетикой. Однако можно вспомнить другую, сугубо лингвистическую работу, опубликованную в 2023 году в Science: её авторы пришли к выводу, что индоевропейский праязык возник не позже 8,1 тысячи лет назад у земледельцев, живших в Закавказье.
8. СИБИРСКИЕ ПРЕДКИ УРАЛОЯЗЫЧНЫХ НАРОДОВ
В другой палеогенетической статье, опубликованной в июле 2025 года в Nature, говорится о том, где жили предки современных людей, говорящих на языках уральской языковой семьи. К ним, среди прочих, относятся венгерский, финский и эстонский, которые на современной карте мира выглядят как острова посреди индоевропейских языков. Хотя они называются уральскими, с их происхождением далеко не всё так очевидно. Геномы уралоязычных народов изучают не первый год. Несколько лет назад удалось показать, что у них действительно есть много общего не только в языках, но в генетике***. Международная группа исследователей, среди которых были сотрудники Алтайского государственного университета, Института археологии и этнографии Сибирского отделения РАН, Института проблем освоения Севера СО РАН и других российских научных центров, анализировала геномы 180 человек, много тысяч лет назад населявших север Евразии. Эти геномы сравнивали с другими древними геномами, прочитанными ранее, а также с геномами современных людей. Оказалось, что в ДНК современных носителей языков уральской языковой семьи, в том числе у говорящих на венгерском, эстонском и финском, есть явный след людей, живших на территории современной Якутии около 4 тысяч лет назад и принадлежавших к ымыяхтахской культуре. У их соседей, говорящих на индоевропейских языках, этого следа нет.

Народы уральской языковой семьи на карте (А) и схематическое «дерево» уральских языков, показывающее родственные связи между языками (Б). Цвета на рисунке отвечают тем или иным языкам на панели Б. Рисунок: Genome Biology 2018 19:139 https//doi.org/10.1186/s13059-018-1522-1.
Более ранние археологические исследования показали, что керамические изделия ымыяхтахской культуры около 4 тысяч лет назад появляются в Саяно-Алтае. Новые генетические данные совпадают с прежними археологическими: «якутский след» в ДНК возникает примерно в то же время у тех, кто жил в саяно-алтайском регионе и Западной Сибири. Сам собой напрашивается вывод, что распространение уральских языков шло одновременно с расселением этой группы людей по Евразии. Однако эволюция языков вовсе не обязательно совпадает с миграциями. Может быть, люди ымыяхтахской культуры действительно общались на прауральском языке, а может быть, и нет. Новые результаты говорят нам не столько о языках, сколько о генетике: исследователи пишут не о том, откуда вышли уральские языки, а о том, где жили предки их носителей.
Комментарии к статье
* См. статью: Стасевич К. Поможет ли искусственный интеллект понять животных? «Наука и жизнь» № 11, 2025 г.
** См. статью: Маркина Н. У народов уральской языковой семьи обнаружена генетическая общность. «Наука и жизнь» № 1, 2019 г.
*** См. статью: Стасевич К. Редактор для генома. «Наука и жизнь» № 12, 2020 г.
Статьи по теме
- Поможет ли искусственный интеллект понять животных?
- У народов уральской языковой семьи обнаружена генетическая общность
- Редактор для генома
Читайте в любое время

